
심미치료

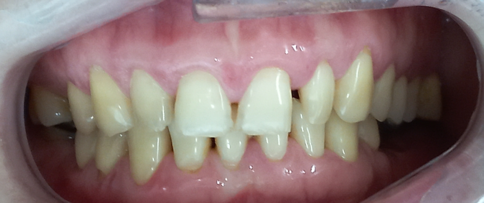
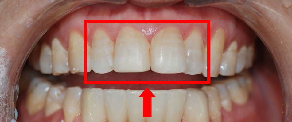
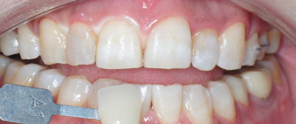
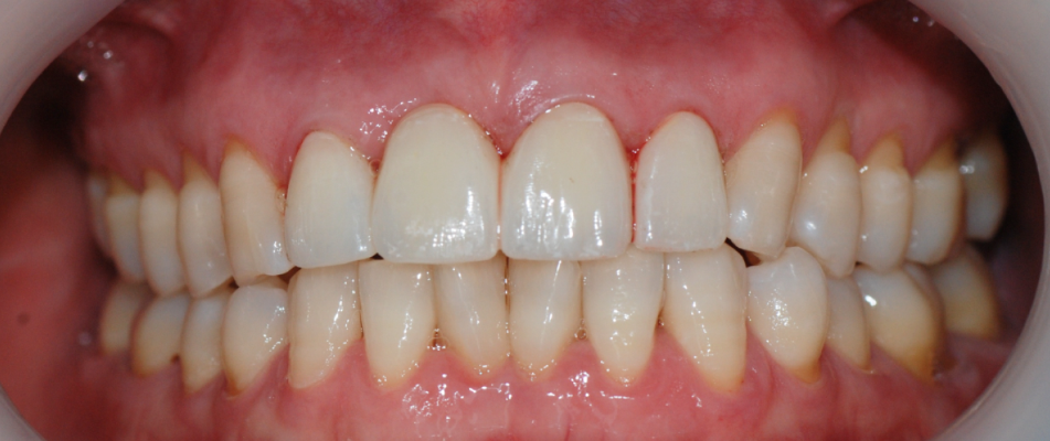
BEFORE 여기에 이미지커서 두고 ‘사진’ 아이콘
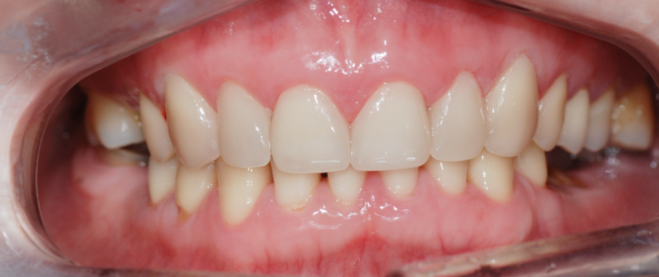
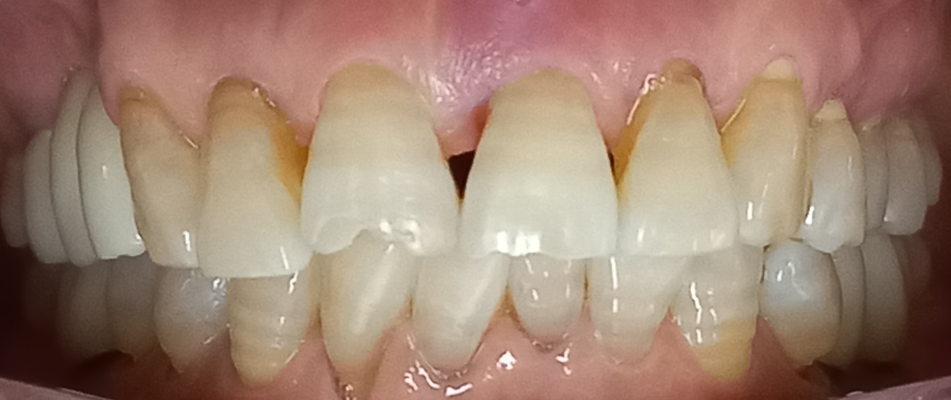
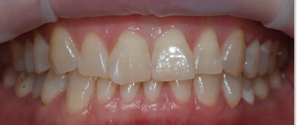
AFTER 여기에 이미지


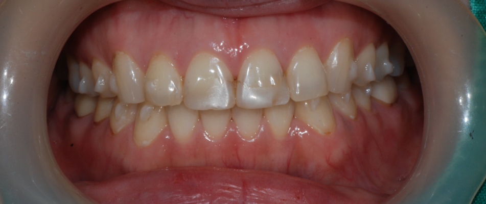
여기에 이미지커서 두고 ‘사진’ 아이콘
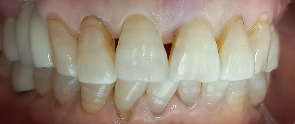
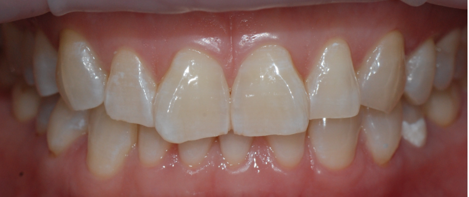
AFTER 여


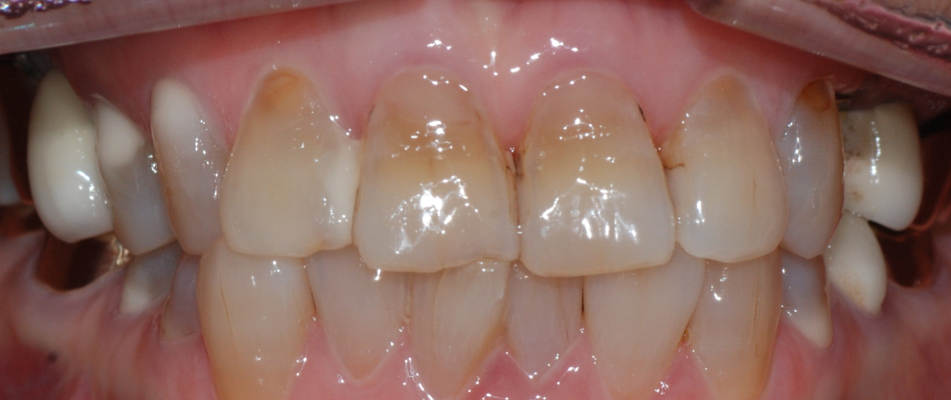
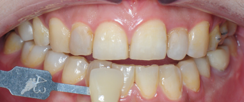
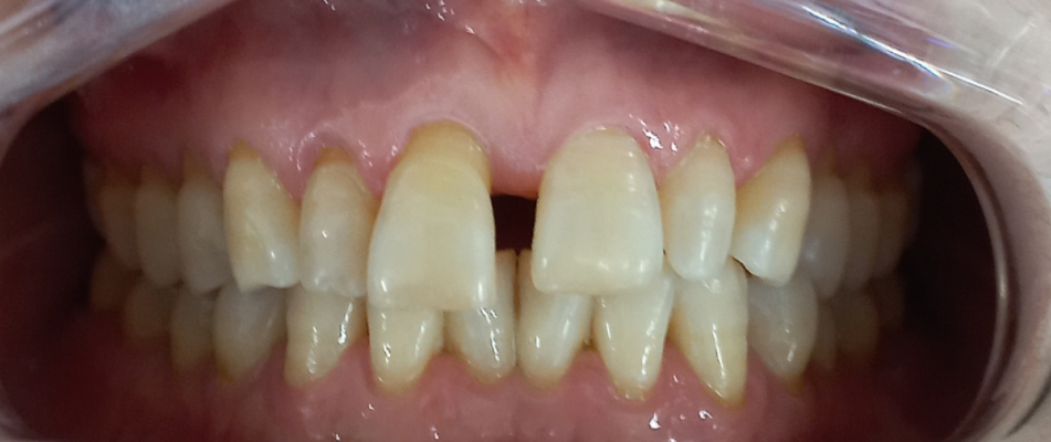
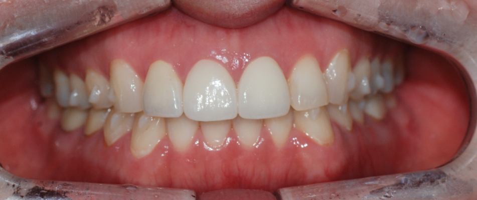
BEFORE 여기에 이미지커서 두고 ‘사진’ 아이콘
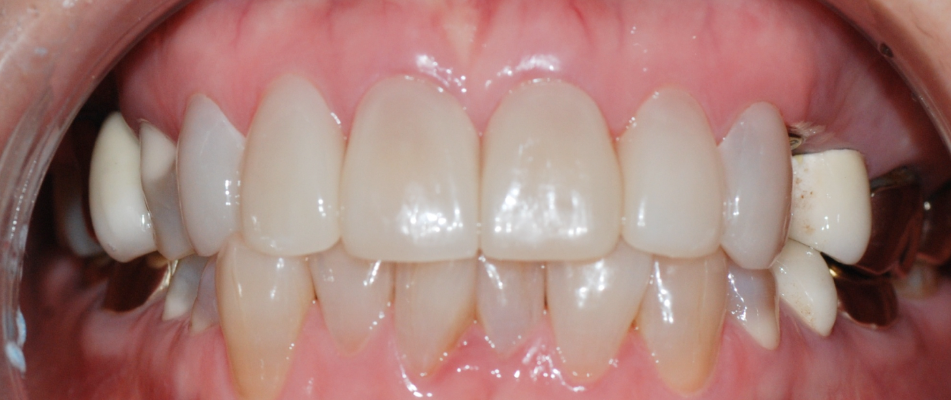
AFTER 여기에 이미지커서 두고 ‘


BEFORE 여기에 이미지커서 두고 ‘사진’ 아이콘
AFTER 여기에 이미지커서 두고 ‘


BEFORE 여기에 이미지커서 두고 ‘사진’ 아이콘
AFTER 여기에 이미지커서 두고 ‘


BEFORE 여기에 이미지커서 두고 ‘사진’ 아이콘
AFTER 여기에 이미지커서 두고 ‘


BEFORE 여기에 이미지커서 두고 ‘사진’ 아이콘
AFTER 여기에 이미지커서 두고 ‘


BEFORE 여기에 이미지커서 두고 ‘사진’ 아이콘
AFTER 여기에 이미지커서 두고 ‘

버튼을 움직여서 변화를 확인해보세요.
(서울정석치과는 의료법을 준수하며, 위 이미지는 실제 환자의 동의를 얻은 사례입니다.)
무삭제 라미네이트는 치아를 전혀 깎지 않고 자연 치아를 그대로 보존하는 시술입니다. 다만, 치아 형태를 크게 바꾸거나 더 심미적인 배열을 원하실 때는 최소한의 치아 삭제를 통해 라미네이트를 진행하기도 합니다. 기존 라미네이트는 치아를 일부 삭제한 후 부착하는 방식으로, 무삭제 라미네이트에 비해 치아 손상이 있을 수 있습니다. 환자 개개인의 상태와 원하는 결과에 맞춰 가장 적합한 방법을 선택합니다.
과도한 삭제 없이 진행되며, 숙련된 의료진이 최소 침습으로 시술하므로 치아 건강에 큰 영향을 주지 않습니다.
평균 6개월에서 1년 정도 유지되며, 식습관과 생활 습관에 따라 차이가 발생할 수 있습니다.
강한 외부 충격이나 이갈이 등 특수한 경우에 발생할 수 있으나, 정상적인 사용에서는 문제가 거의 없습니다.
시술 당일은 부드러운 음식을 권장하며, 이후에도 딱딱하거나 끈적한 음식은 주의가 필요합니다.
초기에는 시린 증상이 있을 수 있으나 대부분 일시적이며, 시간이 지나면 자연스럽게 완화됩니다.