임플란트

임플란트-1.png

 

 

 

 

 

 

임플란트

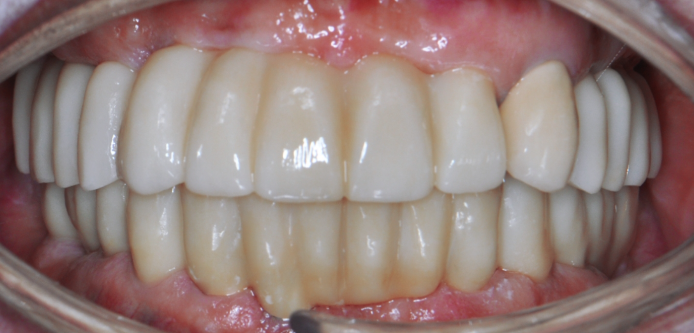
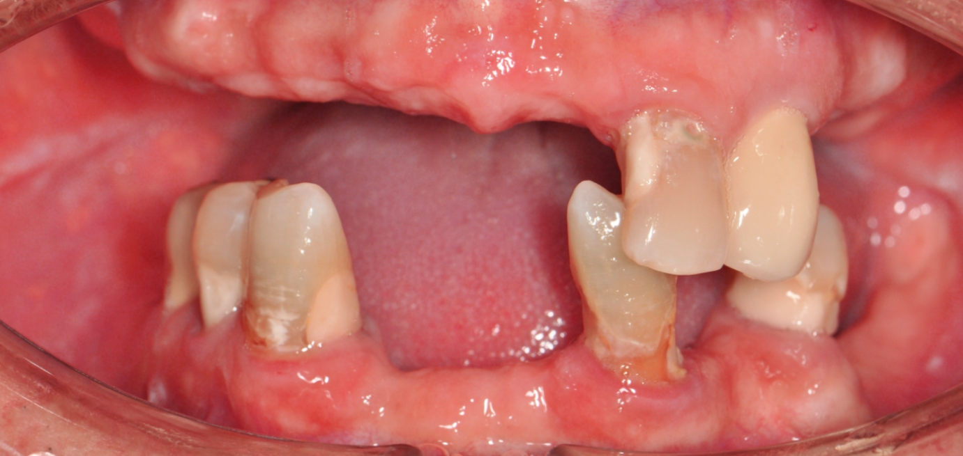
Before & After

 

image.png

image.png

Drag Before After

image.png

image.png

Drag Before After

버튼을 움직여서 변화를 확인해보세요.

(서울정석치과는 의료법을 준수하며 위 케이스는 실제 환자의 동의를 얻은 사례입니다.)

 

 

 

 

 

 

 

 

수면치료 자주 묻는 질문
임플란트 시 뼈이식은 꼭 필요한가요?

뼈의 양이나 밀도가 부족할 경우 안정적인 식립을 위해 뼈이식이 필요할 수 있습니다. 사전 진단을 통해 결정됩니다.

고혈압이나 당뇨 등의 질환을 앓고 있어도 임플란트 가능한가요?

질환이 잘 조절되고 있다면 가능하지만, 주치의와의 협진과 철저한 사전 평가가 필요합니다.

수술 후 음식물 섭취는 언제부터 가능한가요?

국소마취가 풀린 후 부드러운 음식부터 드시는 것이 안전하며, 수술 부위 자극은 피하셔야 합니다.

임플란트 수명은 얼마나 되나요?

평균 10~15년 이상 사용 가능하며, 정기 검진과 구강 위생 관리에 따라 더 오래 유지될 수 있습니다.

임플란트 수술 후 양치질은 평소대로 해도 될까요?

수술 부위를 피해서 부드럽게 양치해야 하며, 전문용 가글이나 처방된 제품을 병행하는 것이 좋습니다.